病理診断科 概要
部署紹介


現在、病理医2名(うち非常勤1名)・臨床検査技師4名で業務を行っています。病理部長を中心にアットホームな環境で、小人数ながらも自施設内で特殊染色や免疫化学抗体法も行っており、迅速かつ正確な診断を心がけています。 独立部門となっているため、所属技師は病理・細胞診業務に専念することができ、各種勉強会や学会にも積極的に参加できる環境にあります。夜勤がないため女性にとっても働きやすい職場となっています。また各種認定資格取得にむけての指導も行っており、細胞検査士、二級臨床検査士(病理学)など各種資格取得の実績があります。
施設認定
日本臨床細胞学会認定施設(認定番号第830号)
人数、有資格者等
- 部長 医師1名
- ・日本病理学会専門医
・日本臨床細胞学会専門医
- 臨床検査技師 4名
- ・細胞検査士 4名
・国際細胞検査士 2名
・病理認定技師 1名
・二級臨床検査士(病理学) 3名
・特定化学物質及び四アルキル鉛等作業主任 3名
・有機溶剤作業主任者 3名
・医療安全管理者 1名
・日本臨床衛生検査技師会精度管理責任者 1名
業務内容
- (1)病理組織診断
- 体内から採取された組織から標本を作製し、顕微鏡下で観察し、病理組織診断を行います。標本作製は臨床検査技師が、診断は病理医が行います。病理組織診断は最終診断とも呼ばれており、非常に重要な役割を担っています。 通常小さな生検では2~3日、手術材料では1週間~10日程度診断に要します。
手術材料
-

口腔癌
-

前立線癌
-

大腸癌
- (2)術中迅速病理組織診断
- 手術中に切除断端での腫瘍の有無やリンパ節への転移などの診断を行います。通常の病理組織診断と違い、短時間での診断が要求されるため、特殊な装置を使って標本を作成し、診断が行われます。検体提出から報告まで15分程度の時間を要します。
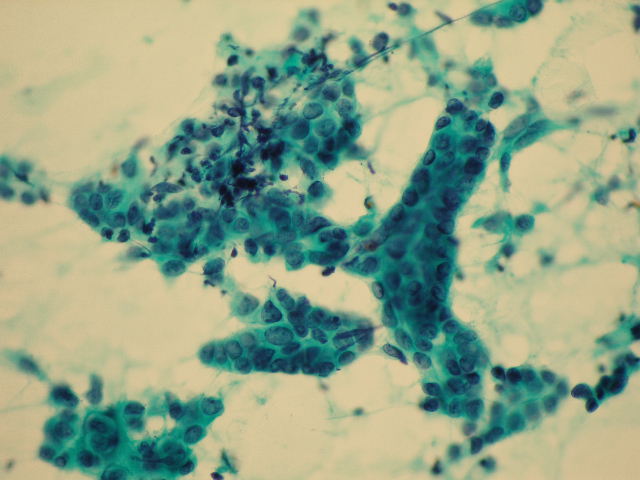
- (3)細胞診判定および診断
- 病変部の擦過や注射針による穿刺吸引物、喀痰、尿、体腔液(胸水、腹水など)などの検体から標本を作製し顕微鏡で観察して、がん細胞などの有無を確認する検査です。組織診断と異なり、非侵襲性で迅速かつ簡便で、ある程度の反復検査が可能です。細胞診標本は細胞検査士が鏡検し報告しますが、異型細胞がみられた症例に関しては細胞診専門医が最終的な診断を確定します。特別な症例を除き報告までに2日程度を要します。
細胞診材料
-

異型細胞(HPV感染細胞)
-

異型細胞(肺癌・角化型扁平上皮癌)
-

異型細胞(乳癌・腺癌)
- (4)病理解剖
- ご家族の同意のうえ、不幸にして治療の甲斐なく亡くなられた患者様の死因、病気の進行度、治療の効果などを明らかにするために行われます。将来の診断・治療の向上に生かされます。
診療実績
| 2019年 実績 |
2020年 実績 |
2021年 実績 |
2022年 実績 |
2023年 実績 |
|
|---|---|---|---|---|---|
| 病組織診断 | 3,796件 | 3,601件 | 4,228件 | 3,657件 | 3,428件 |
| 細胞診 | 3,197件 | 2,578件 | 2,654件 | 2,580件 | 2,564件 |
| 術中迅速診断 | 58件 | 83件 | 76件 | 75件 | 51件 |
| 病理解剖 | 0件 | 0件 | 0件 | 0件 | 0件 |
| 免疫染色 | 342件 | 550件 | 540件 | 414件 | 448件 |
スタッフ紹介
伏見 博彰(ふしみ ひろあき)
| 役職 | 部長 |
|---|---|
| 専門領域 | 病理学 |
| 所属学会・資格等 | 日本病理学会 日本臨床細胞学会 日本病理学会専門医・指導医・分子病理専門医 日本臨床細胞学会専門医・指導医 |
