眼科 対象疾患の詳細
・対象疾患
白内障とは
眼の構造はカメラと似ています。眼の中にはカメラのレンズに相当する水晶体があります。水晶体は凸(とつ)レンズの形をしており、光を屈折させることで網膜に焦点を合わせる(ピントを合わせる)役割をしています。それによって私たちは物を見ることが出来ます。水晶体はもともと透明で、光をよく通す器官ですが、ケガ・遺伝・病気・加齢など様々な原因で濁ってきます。白内障とは、何らかの原因で水晶体が濁って視力に影響が出てきた病気のことを言います。
白内障の症状
主な症状は視力の低下、かすみ目、羞明(眩しさ)です。その他に複視(ものが2重に見える)や一時的に近くのものが見やすくなることもあります。
白内障になると、すりガラスを通して物を見るような感じになります。
初めは細かいものが見えにくくなる感じだけですが、進行すると大きな文字や人の顔まで見えにくくなります。
部屋の中から晴れた屋外に出たときにかえって見えにくくなったり、夜間の対向車のヘッドライトがかなり眩しく感じられ症状に気づくこともあります。
多くの場合、両目に発症しますが左右差のある場合もあります。
白内障の原因
一番の原因は、加齢(歳をとること)です。60〜70歳くらいになると、程度の差はありますが、白内障が生じてきます。70歳代では80%くらいの方が、80歳以上ではほぼ100%の方に生じています。早い方なら40歳頃から始まることもあります。他には、外傷(目の打撲や刺し傷)や病気(網膜剥離、アトピーなど)、薬の副作用(ステロイド)、放射線によって起こることもあります。
白内障の検査
白内障が進行すると視力が低下してきますので、視力検査は必ず行います。ただし、近視・遠視・乱視のある方は、眼鏡などで矯正しないと、元々裸眼の視力は低下していますから、白内障による視力低下かどうか分かりません。そこで、一番視力の出るレンズを装用して測定するのが、矯正視力検査(きょうせいしりょくけんさ)です。矯正視力検査の値が低下してきたら白内障などの目の病気が進んでいることが考えられます。白内障の初期には混濁の起こる場所によって、近視や乱視が進行することがあります。矯正視力検査のときの矯正に必要なレンズの度数から近視や乱視の程度がわかります。矯正視力が低下する前の段階の白内障では重要な検査です。
水晶体の混濁の程度は直接顕微鏡で観察します。これを細隙灯顕微鏡検査(さいげきとうけんびきょうけんさ)と呼びます。細いスリット状の光を当てて顕微鏡で拡大して観察すると、透明な組織の内部構造までよくわかります。光を当てるのでまぶしい検査ですが、痛みを伴う検査ではありません。
白内障の治療
点眼液は、進行を抑えるのに有効ではありますが、一度濁ってしまった水晶体を透明にすることは出来ません。また、点眼をしていても少しずつ進行していきます。白内障を治療して、より良く見えるようにする為の有効な治療法は、現時点では手術のみです。
手術を受けられる時期ですが、その人にとって見にくくなってきた時が、良い時期であると言われています。また、白内障により他の病気を引き起こしそうになっている時は、医療者側からお勧めすることもあります。
手術について
当院では、日帰りおよび入院手術で行っており、手術までの待機期間は約2週間程度となっています。
・術前
術前には、抗生物質(細菌を殺す薬)や散瞳剤(瞳を大きくする薬)を点眼して手術に備えます。点眼の仕方は、外来スタッフや病棟スタッフより説明を受けてください。他科で治療されている方は、必ずその科の主治医の先生にもご相談ください。特に抗凝固薬(血液をさらさらにする薬)については注意が必要です。
・麻酔
手術では局所麻酔を行います。眼の周囲を消毒した後、目薬による点眼麻酔と注射によるテノン嚢下麻酔を行います。注射は眼球の周囲に細い針を刺すだけですので、あまり痛みを感じることはありません。全身麻酔で手術を行う場合は、麻酔科医より別に説明があります。
・手術
最も一般的に行われている手術方法は、超音波乳化吸引術です。この場合、切開するのは角膜と強膜(黒目と白目)の境目で、約2〜3mm弱です。水晶体を包んでいるカプセルに丸い穴を開けて、核(中身の濁った部分)などを超音波で砕いて吸い取ります。手術後には水晶体が無くなりますので、代わりのレンズが必要になります。ほとんどの場合、透明な人工の眼内レンズを挿入します。最後に切開した場所を閉じて手術は終了します。
現在、日本国内では年間約100万件の白内障手術が行われており、非常に安全性の高い手術となっています。手術時間は大体30〜60分位です。しかし、目の状態(散瞳が悪い、核が硬い、水晶体を支えている筋力が弱い、など)によっては時間がかかることもあります。手術の際は動かないようにしてください。何か異常を感じたときや、体を動かしたいときは手術中でも構いませんので、前もって口を開いてお話ししてください。
白内障が進行しすぎてか水晶体の核が硬くなってしまっている場合などでは、切開を6〜7mm程度と広めにして、核ごと取り出す方法に切り替えることもあります。この場合、多少余分に時間がかかります。
眼内レンズの度数を調整することによって、手術前の近視・遠視をある程度矯正することも可能です。特定の範囲でしかピントが合わない単焦点眼内レンズを挿入すると、強い老眼が残ったような状態になります。例えば、裸眼で車の運転やゴルフができるように調整した眼内レンズでは、読書や手芸などの手元の作業では老眼鏡をかけないとよくみえません。逆に、手元をよく見えるように調整した眼内レンズでは、遠くを見るために眼鏡が必要です。従って、いずれの場合でも手術後は少なくとも1種類以上の眼鏡が必要になります。最近では、こうした単焦点眼内レンズの欠点を改善することを目的に、「遠く」と「近く」が裸眼でもよく見える多焦点眼内レンズが使用されてきています。
手術の合併症
手術自体は昔と比べて飛躍的に安全になりましたが、合併症がゼロではありません。中でも最も深刻な合併症が感染性術後眼内炎(かんせんせいじゅつごがんないえん)です。これはばい菌が眼の中で増殖して眼の組織を溶かしてしまう恐ろしい合併症です。発症頻度は0.02%〜0.1%くらいの割合で起こると言われています。残念ながら、現在の医療レベルではこの合併症を完全に予防することはできません。
そのほかの合併症としては、水晶体嚢が破れる(破嚢)、チン小帯断裂(水晶体嚢を支えている部分が弱くて切れてしまう)、出血、網膜剥離、角膜混濁、眼内レンズの位置ずれなどがあります。
手術後時間が経ってからの晩期合併症として、後発白内障(こうはつはくないしょう)があります。これは、眼内レンズを入れた水晶体嚢が再び混濁して起こります。約20%の方に起こるといわれていますが、治療はYAGレーザー(やぐれーざー)で混濁した水晶体嚢を破って透明にすることができますので、入院の必要はなく、通院で行うことができ、痛みもありません。
手術後のこと
手術後の安静について
手術後1時間程度は安静にしていただきます。その後気分不良などがなければ、歩行や食事など普段通りの生活をしていただいて構いません。アルコールやタバコは控えてください。
手術後は、一晩眼帯をしていただきます。翌朝、診察時に眼帯を外します。その後は透明眼帯をしていただきます。また、手術翌日より術後点眼も開始となります。点眼は、術後数ヶ月続けていただきます。
手術後の視力について
手術後の視力は、病気が白内障だけであればかなり回復が期待できます。
ただし、他の病気(例えば角膜疾患や網膜疾患、緑内障など)も患っておられ、それによる視力低下を認める場合は、視力の回復は期待できません。視力の回復の程度につきましては、主治医にご相談ください。
多焦点眼内レンズを希望される方へ
当院は厚生労働省の「多焦点眼内レンズを用いた水晶体再建術(白内障に係るものに限る)」の「先進医療施設」として認定されていますので、「先進医療にかかる費用(多焦点眼内レンズを用いた白内障手術)」として、手術費・眼内レンズ費は全額自己負担となりますが、それ以外の手術前・手術後の診察・検査・薬代等の費用は保険診療で行えます。医療保険の先進医療特約等をつけられている方は、多くの場合は適応となりますので、医師・外来スタッフにご相談ください。
多焦点眼内レンズですが、現在日本で認可されているのは、遠方と近方または遠方と中間の2カ所にピントが合うように設計された二重焦点眼内レンズです。眼内レンズの中央部に同心円状に溝ができており、その境目で回折という現象がおこって光が焦点を結びます。通常の屈折でできる焦点と合わせて2カ所に焦点を結ぶわけです。2カ所に焦点がある眼内レンズといっても、レンズの材質はプラスチックで厚みが自動的に変わるわけではりませんので、2カ所の焦点はあらかじめ設定された距離になっています。一つの焦点は、遠くを見たときにピントが合うように設定されており、もう一つの焦点は近く(約50cm、約40cm、約30cmのいずれか)にあらかじめ設定されています。近くの焦点がこの3種類のうち、どの眼内レンズを選ぶかは、生活状況とご希望を考慮して患者さんと相談して決定します。中間距離を重視するか、近くを重視するかで、術後の見え方は少し異なります。多焦点眼内レンズを入れたので、メガネは全く必要でなくなるということではありません。
疑問な点がございましたら、お気軽に医師・外来スタッフにお声掛けください。
・網膜硝子体疾患
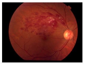
糖尿病網膜症
糖尿病網膜症は糖尿病により網膜に障害が生じる疾患です。
3つのステージに分類されます。
単純網膜症
網膜に点状出血を生じます。この時点では自覚症状はあまりありません。治療は血糖コントロールが中心となります。
前増殖網膜症
糖尿病により網膜の血流が悪くなり、無潅流領域と呼ばれる血流不良の場所がでてきます。蛍光眼底造影検査などで詳細を把握します。無潅流領域が多数あると、新生血管と呼ばれる脆い血管ができ、硝子体出血などを引き起こす可能性があり、無潅流領域が広い場合には網膜光凝固(レーザー治療)を行います。硝子体出血などを生じた場合には硝子体手術を行うこともあります。
増殖網膜症
前増殖網膜症から進行し、網膜の上に増殖膜と呼ばれる膜を認めます。膜が増加してくると網膜剥離を引き起こすこともあります。この段階では硝子体手術により膜を除去します。
いずれのステージにおいても黄斑部(ものを見る中心部分)に浮腫が生じる可能性があり、それに対する治療としてステロイドや抗VEGF薬の注射などもあり、外来にて治療を行っております。
網膜静脈閉塞症
網膜静脈閉塞症は網膜の静脈が血栓などにより閉塞し、出血する疾患です。黄斑部に浮腫が生じる場合(黄斑浮腫)があり、その場合視力が低下することがあります。黄斑浮腫の治療としてステロイドや抗VEGF薬の注射などがあります。また、血流の不良の場所に網膜光凝固(レーザー治療)を行うこともあります。硝子体出血を起こした場合には硝子体手術を行うこともあります。
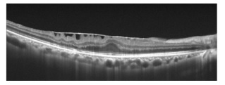
加齢黄斑変性症
黄斑部の下に新生血管が生じ、出血や浮腫、網膜剥離などを生じることで視力が低下したり、ものが歪んで見えたりする疾患です。治療は長期にわたることが多いですが、抗VEGF薬の注射などによっていい状態を維持できるよう、治療を行います。
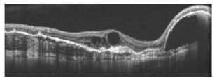
裂孔原性網膜剥離
眼球には中心部分に硝子体というゲルが存在し、年齢の変化などで収縮してきます。この際、網膜に弱い部分があったりすると硝子体の収縮する力により牽引され、網膜に穴(裂孔)が生じることがあります。網膜裂孔に対しては光凝固(レーザー治療)による治療を行います。しかし、時間がたつと裂孔から硝子体液が網膜の下に回り込み、網膜が浮き上がってしまいます。これを網膜剥離といいますが、この状態になれば手術療法による治療を行います。
網膜に穴が開いてしまった場合、飛蚊症(虫が飛んでいるような黒い点がみえる)が生じたり、網膜剥離にまで進展した場合には視力が低下したり、視野が障害されたりします。手術には眼の外から行う方法(網膜復位術)と中から行う方法(硝子体手術)がありますが、網膜剥離の状態などにより総合的に判断し、よりよい方法を選択させていただいております。手術の過程で眼の中にガスを注入することもあり、その場合は術後下向きの姿勢をしていただくことにより網膜をもとに戻すということもあります。
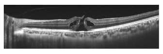
黄斑円孔
裂孔原性網膜剥離が生じる機序と同様、硝子体の牽引にて黄斑部に穴が開いてしまった状態をいいます。歪みや真ん中が見にくいといった症状がでてきます。いちど穴が開いてしまえば自然閉鎖することは少ないため、これも手術(硝子体手術)による穴の閉鎖を行います。この手術でも術後は眼内にガスが入るため、下向きの姿勢を維持していただく必要があります。
黄斑上膜(網膜前膜)
硝子体が収縮したあと、一部の硝子体が網膜側に残された状態になったものをいいます。あまり膜が強くない場合は無症状で経過観察のみでいいこともありますが、歪みや視力低下などを生じた場合には硝子体手術による膜の除去が必要となることもあります。
そのほか、様々な疾患に対して治療を行っております。
硝子体手術について
上記に挙げた疾患に対する手術として硝子体手術があります。疾患によりさまざまですが、おおよそ1.5時間~3時間の手術で、通常は局所麻酔にて行います。硝子体を切除することにより、硝子体の牽引を除去し、眼内の環境を変化させることで疾患の改善を目指します。
手術は3~5か所の小さい穴を眼にあけて行います。硝子体を処理した後、各疾患に応じた処理を行います。当院では高速回転により安全性の向上した機械を用いて手術を行っております。場合により眼内にガスを注入して手術を終了することもあり、その場合はうつむきの姿勢などを要することもあります。術後合併症として出血、細菌感染などが挙げられ(数千人~一万人にひとり程度)、慎重な経過観察を要するため当院では入院での手術を施行しております。詳細につきましては主治医とご相談ください。
・眼瞼下垂
眼瞼下垂とは上瞼が下がり、視界が狭くなる状態です。
原因は様々であり、大きく分けると、生まれつき(先天性)、年齢の変化や何かしらの病気(後天性)に分けられます。
年齢の変化によるものは主に、瞼を持ち上げる筋肉の筋力低下が原因である腱膜性眼瞼下垂と、皮膚のたるみにより瞼が皮膚で隠れる眼瞼皮膚弛緩に分けられます。
当院では原因に応じた治療法を提案し、QOV(Quality of Vision)の向上を目指します。
先天性眼瞼下垂
生まれつき瞼を持ち上げる筋肉が発達していない状態です。目をしっかりと開けることができないと、視力の発達を妨げることがあり、眼鏡などを用いても良好な視力を得ることができない弱視になってしまう可能性があります。当院では主に人工の繊維で瞼と額の筋肉をつなげることにより、治療を行っています。また、術後も必要であれば弱視治療を提案させていただいています。
腱膜性眼瞼下垂
瞼を持ち上げる筋肉が、年齢の変化やコンタクトレンズの長期装用による刺激により弱ってしまい、十分に瞼を持ち上げられない状態です。視界が狭いという症状はもちろん、頑張って目を開けようとするため、額にしわが寄ってしまうなどの整容的な症状も出現することがあります。瞼を持ち上げる筋肉(腱膜)を短くすることで筋力を向上し、良好な開瞼を得る治療を行っています。
眼瞼皮膚弛緩
皮膚がたるみ、瞼が隠されてしまう状態です。余った皮膚を切除することにより、本来の瞼の形を取り戻します。
様々な原因が組み合わさっている場合は、各々の治療を順番に行います。
その他、何かしらの病気が原因となっている場合はその原因を検索し、各々の治療を提案させていただきます。
・内反症
いわゆる逆まつ毛です。大きく分けると、まつ毛が眼球に向かって生える睫毛内反症、まつ毛の生え際の瞼が眼球に向かって巻き込まれる眼瞼内反症に分けられます。その他に、まつ毛が様々な方向に生えてくる睫毛乱生、二列に生えてくる睫毛重生などがあります。まつ毛が眼球に接触することにより、目の表面を傷つけてしまい、それによる痛みや視力低下が主な症状です。目の表面に傷があると、視力の発達を妨げることや乱視を招くことがあり、こちらも弱視の原因となることがあります。
睫毛内反症
まつ毛を外に向けるための穿通枝と言われる繊維の発達が不十分であることや、その周りの組織が余剰となっていることが主な原因とされています。当院では主に、皮膚を切開し穿通枝の作成および余剰組織の切除により治療を行っています。
眼瞼内反症
下瞼には瞼を下方に引っ張る力と左右に引っ張る力が働き、それにより下瞼が正しい位置で眼球と接触しています。年齢の変化などにより、引っ張る力が弱まってしまうと、まつ毛の生え際の瞼が眼球に向かって巻き込まれてしまい、眼瞼内反症となります。当院では原因に合わせた治療を提案しています。
・涙道疾患
涙は涙腺より分泌され、眼表面を潤し、目頭にある上下の涙点から涙小管、鼻の付け根にある涙嚢、鼻涙管を通り、鼻の中まで流れていきます。涙点~鼻涙管までを涙道と総称します。
涙道は涙の排水口に相当し、何らかの原因(加齢、感染症などによる炎症、ある種の抗癌剤の使用)によって狭窄や閉塞してしまうことがあります。これを涙道閉塞と呼びます。特に、鼻涙管が狭窄や閉塞することにより、涙嚢内に眼脂が貯留し炎症を起こすと涙嚢炎という状態になります。
涙道閉塞を起こすと、排水口が詰まるのと同じように、涙や眼脂があふれ出てきます。さらに涙嚢炎になってしまうと、眼脂が多くなり、時として涙嚢部(目と鼻の間)が腫れ上がってしまいます。
このような涙道狭窄や閉塞、あるいは涙嚢炎に対する治療には、涙管チューブ挿入術と涙嚢鼻腔吻合術があります。状態に応じてより良い治療を選択していただけるように治療法を提案しています。
涙管チューブ挿入術
直径0.9mmの涙道内視鏡カメラを用いて涙道内を観察し、狭窄部や閉塞部を探し出します。涙道内視鏡を用いることにより、本来の涙道を開放し、十分な拡張を保つために涙管チューブを一時的に留置します。留置期間は状態により前後しますが、当院では2か月程度留置、抜去することが多いです。局所麻酔、日帰り手術となります。
涙嚢鼻腔吻合術
鼻の付け根にある涙嚢と鼻の中を直接つなぐバイパス手術です。鼻涙管全体が固く閉塞している場合や涙嚢炎となっている場合などは、涙管チューブ挿入術では治りにくい場合があり、涙嚢鼻腔吻合術が有効とされています。基本的には涙道内視鏡と鼻内視鏡を用いて手術を行い、外からは傷がわからない治療を行っています(涙嚢鼻腔吻合術鼻内法)。状態によっては皮膚を切開する必要となる場合もあります(涙嚢鼻腔吻合術鼻外法)。いずれもバイパス部分が十分に拡張するように、涙管チューブを一時的に留置します。留置期間は状態により前後しますが、当院では2か月程度留置、抜去することが多いです。
涙嚢と鼻の間には薄い骨があり、骨を削る必要があるので、当院では全身麻酔手術、最短2泊3日入院となります。
